골다공증 검사

신속한 검사와 정확한 판독, 안전한 시술까지

골다공증 검사

골다공증은 뼛속 무기질(주로 칼슘)이 감소하여 뼈가 약해져 쉽게 부러지는 상태를 말하며, 이런 뼈를 관찰해 보면 치밀하지 못하고 구멍이 많이 나 있는 모양으로 '골다공증'이라고 부릅니다. 일반적으로 골밀도는 30대 중반까지 증가하다가 30대 후반부터 감소하며 여성이 남성보다 골다공증에 걸릴 위험성이 더 높습니다. 특히 여성은 폐경됨에 따라 여성호르몬 (에스트로겐) 생산량이 감소하게 되어 골밀도가 급격하게 감소하게 되지만 초기에는 증상이 없어 발견하기 어려운 경우가 많습니다.

골다공증 검사가 필요한 경우

흡연 / 음주
골소실 속도를 더 빨라지게 함
운동부족
운동 부족으로 뼈의 강도가 약해짐
영양부족
칼슘과 비타민D의 부족으로 뼈가 약해짐
골다공증 가족력
어머니나 외할머니의 골다공증 가족력이 있는 경우 확률 높음
일부병력
갑상선 기능 항진증, 간질환, 신경성 식욕결핍 또는 스테로이드 약물의 장기복용
이전의 골절경험
이전의 경미한 외상으로 골절 경험이 있는 경우
저체중
처음부터 골량이 적음

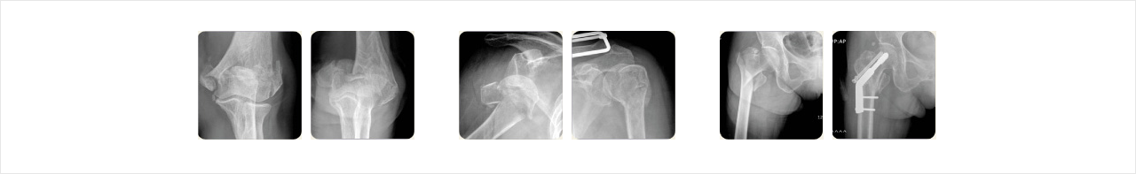
골다공증에 의한 골절

골다공증은 발생되면 이전 상태로 회복되지 않습니다.
하지만 규칙적인 운동과 충분한 영양 섭취등 기본적인 예방법 외에 골다공증이 더 이상 진행하지 않도록 하는 여성호르몬이나 약해진 뼈의 골량을 증가시키는 약제 등을 통해 골절의 위험성을 감소시킬 수 있습니다.
- 칼슘과 칼슘의 흡수를 돕는 비타민D의 섭취가 중요합니다.
- 뼈의 강도를 높여주기 위해 규칙적인 운동(등산, 걷기운동)이 꼭 필요합니다.
- 술, 담배, 카페인이 함유된 음식은 골다공증을 촉진시키므로 삼가해야 합니다.
- 골다공증약을 복용합니다.